Budd-Chiari sendromu nedir ?
Budd-Chiari sendromu, karaciğerden kan akışını kısmen veya tamamen engelleyen tıkanıklığa bağlı gelişir. Bu tıkanıklık, kanı hepatik damarlardan inferior vena kavaya taşıyan küçük veya büyük venlerin (damarların) herhangi bir yerinde meydana gelebilir. Budd-Chiari Sendromu, Hepatik Ven Trombozu (HVT) olarak da bilinir. Budd-Chiari sendromlu bir hastada aşağıdaki bulguları görmeyi bekleriz: Mide bulantısı Sarılık Halsizlik, yorgunluk Karın ağrısı Karın […]
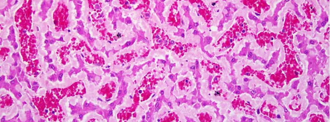
Amiloidoz Nedir ?
Amiloidoz, doku ve organlarda anormal protein fibrillerinin hücre dışı birikimi ile karakterize ve sonunda biriktiği organın işlevini kalıcı olarak bozan, hayatı tehdit eden bir hastalıktır. Amiloidoz ile ilişkili en yaygın klinik sendromlar; diyabetik olmayan nefrotik sendrom, iskemik olmayan kardiyomiyopati, hepatomegali ve periferik nöropatidir. Klinik bulgular, etkilenen organa göre değişiklik gösterir. Açıklanamayan kardiyomiyopati, nefrotik sendrom, hepatomegali, […]
Retroperitoneal Fibrozis Nedir?
Retroperitoneal fibrozis (RPF), renal arterler ile aort bifurkasyonu arasında, abdominal aortu çevreleyen homojen bir kitle ile karakterizedir. Tanı için: İnfrarenal aortu ve iliak damarlara kadar çevreleyen yumuşak doku yoğunluğunun bilgisayarlı tomografi (BT) veya manyetik rezonans (MRI) ile izlenmesi Biyopsi ile malignitenin dışlanmış olması IgG4 ile ilişkili hastalık gibi diğer olası sistemik hastalıkların dışlanması RPF, idiyopatik […]




