Amiloidoz Nedir ?
Amiloidoz, doku ve organlarda anormal protein fibrillerinin hücre dışı birikimi ile karakterize ve sonunda biriktiği organın işlevini kalıcı olarak bozan, hayatı tehdit eden bir hastalıktır.
Amiloidoz ile ilişkili en yaygın klinik sendromlar; diyabetik olmayan nefrotik sendrom, iskemik olmayan kardiyomiyopati, hepatomegali ve periferik nöropatidir.
Klinik bulgular, etkilenen organa göre değişiklik gösterir. Açıklanamayan kardiyomiyopati, nefrotik sendrom, hepatomegali, periferik nöropati ve multipl miyelomu olan tüm hastalarda amiloidoz akla gelmelidir.
Romatoid artrit, ankilozan spondilit veya psoriatik artrit gibi kronik inflamatuar romatolojik hastalıkların komplikasyonu olarak ortaya çıkabilir. Kronik infeksiyonlar, Ailesel Akdeniz Ateşi, Crohn hastalığı ve malignitelerden de kaynaklanabilir.
Akut faz reaktanı olan “Serum Amiloid A” fibrillerinin hücre dışı birikimi ile karakterize edilir.
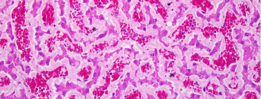
Kongo kırmızısı ile boyandığında, polarize ışık mikroskobunda yeşil refle gösteren amiloid birikintilerinin gösterilmesi ile tanı konur. Periumbilikal cilt altı yağ biyopsisi ve iliak krest kemik iliği biyopsisinin kombinasyonu, hastaların %85’inde amiloidozu gösterecektir. Tanıda “Biyopsi” altın standarttır.

1992 yılında Ege Tıp Fakültesi’nden mezun olan Timur Pırıldar, 1998 yıIında Manisa Celal Bayar Üniversitesi Tıp Fakültesi’nde İç Hastalıkları uzmanlık eğitimini tamamlamıştır. 2000 yılında Ege Üniversitesi Tıp Fakültesi İç Hastalıkları Anabilim Dalı’ında Romatoloji uzmanlık eğitimini tamamlayarak Romatoloji uzmanı olmuştur. 2005 yılında Doçent ve 2010 yılında Profesör ünvanını almıştır. Halen Manisa Celal Bayar Üniversitesi Tıp Fakültesinde İç Hastalıkları anabilim dalında öğretim üyesi olarak çalışan Timur Pırıldar, İzmir’deki muayenehanesinde tedavilerine devam etmektedir.





Cevapla
Want to join the discussion?Feel free to contribute!